
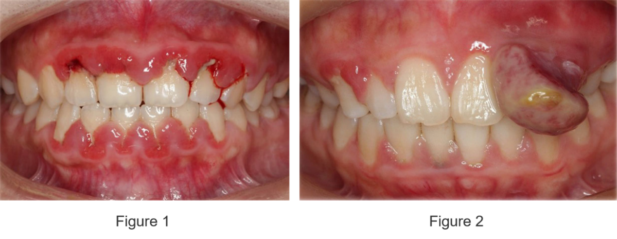
It was reported that the incidence of periodontal diseases during pregnancy was more than 50% in China. Periodontal disease was a risk factor for adversing pregnancy outcomes, such as preterm birth and low birth weight. Periodontics specialty for pregnant women is a featured clinic for treating periodontal diseases that occurred during pregnancy, such as gestational gingivitis (Figure 1), periodontitis, epulis (Figure 2) and pericoronitis. The specialty was established by the department of periodontics for over ten years. We not only focus on the oral health of patients but also take systemic conditions of mother and fetus into consideration, providing safe and effective treatment for patients during such a special time.