
A Case Report by doctoral student Ruyi Wang and Professor Yu Li, Dept. Orthodontics WCSS, has just been published on the journal AJO-DO (Nov.2022) and featured with a video recommendation.
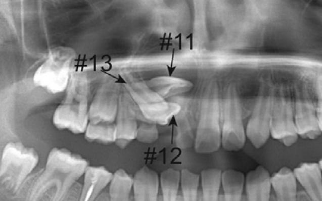
A 11-year-old girl came to our hospital complaining about “missing” front teeth. Radiographs showed that the right maxillary permanent canine, lateral and central incisors were all impacted. Particularly frustrating were the two closely stacked incisors with the roots excursing far away from the right position and embraced in a big cyst. If the incisors could not be drawn and aligned, the girl would have to face a front-teeth-missing adolescence with affected facial esthetics, oral function and self-confidence.
The orthodontic team made a delicate treatment plan after comprehensive examination and analyses. The three impacted teeth were under traction one by one, and the long-distance controlled root tipping was achieved with precise biomechanics. More importantly, a novel crimpable “gate spring”, invented by Prof. Yu Li and Prof. Zhihe Zhao, was used to boost the large-angle root torque movement with high efficiency, playing a pivotal role in perfection of this case.
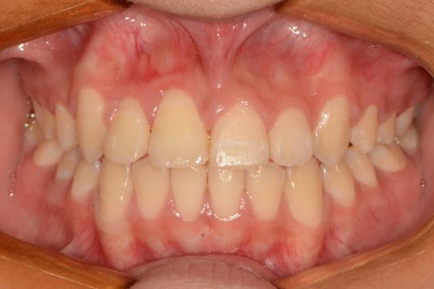
Now the lucky girl can happily show her bright and confident smile with no embarrassment any longer. With publication of this featured case report, the innovative orthodontic techniques, particularly the self-developed high-efficiency torquing auxiliary “gate spring”, will be applied by more orthodontists around the world to benefit their patients.
Read the case report and watch the video at:
https://www.ajodo.org/article/S0889-5406(22)00427-9/fulltext